機能的に優れるセラミック

見た目は勿論のこと機能的に優れるセラミック
セラミック治療と聞くと、見た目をキレイにするための自費の治療という認識をされている方は少なくありません。
自費の治療というのは、あくまで見た目をキレイにすることが目的ではなく、「歯を守る」という観点において、最適な治療方法です。
実はセラミックは材質の性質上、金属の補綴物に比べ、むし歯の再発率が圧倒的に低く、セラミックの5年生存率(5年間割れたトラブルが出ない確率)は95%というデータも出ています。
再治療のリスクが少ない治療法を選択することは、あなたの将来にも良い結果をもたらします。


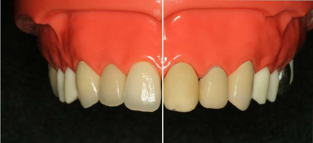
※5年後のイメージとなります。左がセラミック・右が保険(レジン)


